Journal Description
Animals
Animals
is an international, peer-reviewed, open access journal devoted entirely to animals, including zoology and veterinary sciences, published semimonthly online by MDPI. The World Association of Zoos and Aquariums (WAZA), European College of Animal Welfare and Behavioural Medicine (ECAWBM), and Federation of European Laboratory Animal Science Associations (FELASA) are affiliated with Animals and their members receive a discount on the article processing charges.
- Open Access— free for readers, with article processing charges (APC) paid by authors or their institutions.
- High Visibility: indexed within Scopus, SCIE (Web of Science), PubMed, PMC, Embase, PubAg, AGRIS, Animal Science Database, CAB Abstracts, and other databases.
- Journal Rank: JCR - Q1 (Veterinary Sciences) / CiteScore - Q1 (General Veterinary )
- Rapid Publication: manuscripts are peer-reviewed and a first decision is provided to authors approximately 17.7 days after submission; acceptance to publication is undertaken in 2.5 days (median values for papers published in this journal in the first half of 2025).
- Recognition of Reviewers: reviewers who provide timely, thorough peer-review reports receive vouchers entitling them to a discount on the APC of their next publication in any MDPI journal, in appreciation of the work done.
- Companion journals for Animals include: Birds, Ruminants and Zoonotic Diseases.
Impact Factor:
2.7 (2024);
5-Year Impact Factor:
3.2 (2024)
Latest Articles
Impact of Dietary Supplementation with Pogostemon cablin Essential Oil on the Rumen Fermentation and Rumen Health in Heat-Stressed Beef Cattle
Animals 2025, 15(21), 3123; https://doi.org/10.3390/ani15213123 (registering DOI) - 28 Oct 2025
Abstract
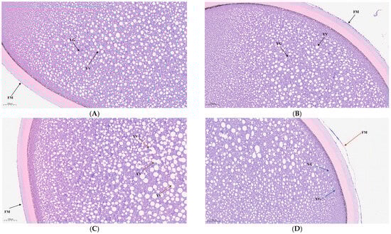
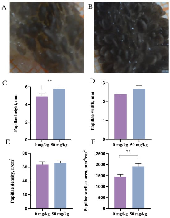
This study aimed to investigate the effects of Pogostemon cablin essential oil (PEO) on rumen development in heat-stressed beef cattle. Eighteen male Jingjiang cattle were randomly assigned to two groups and fed a diet containing PEO at 0 mg/kg (Control) and 50 mg/kg
[...] Read more.
This study aimed to investigate the effects of Pogostemon cablin essential oil (PEO) on rumen development in heat-stressed beef cattle. Eighteen male Jingjiang cattle were randomly assigned to two groups and fed a diet containing PEO at 0 mg/kg (Control) and 50 mg/kg in the feed concentrate (n = 9 per group). The rumen fluid samples had lower ammonia nitrogen and higher cellulase activity, propionate and total volatile fatty acids concentrations in the 50 mg/kg PEO group. Compared with the control group, 50 mg/kg dietary supplementation with PEO increased crude protein and neutral detergent fiber digestibility. Additionally, the ruminal tissue papilla height, the papilla surface area, and the activities of glutathione peroxidase, total superoxide dismutase, and total antioxidant capacity were also higher, while the malondialdehyde content was lower for the heat-stressed cattle in the 50 mg/kg PEO group. Furthermore, PEO increased the average optical density values and mRNA expression of zonula occludens-1 (ZO-1) and occludin (p < 0.05). Transcriptomics analysis of the rumen epithelium showed that PEO upregulated the expression levels of genes related to tight junction proteins and the DNA replication/repair pathways, while it downregulated pro-apoptotic genes. In summary, dietary PEO supplementation improved nutrient digestibility, enhanced rumen antioxidant capacity, and promoted the repair of damaged rumen epithelium in heat-stressed cattle, indicating that PEO exerts a prominent protective effect on rumen function.
Full article
(This article belongs to the Section Cattle)
►
Show Figures
Open AccessArticle
Ammonia Stress Induces Transcriptional Expression Changes in the Mature Eggs of the Acipenser baerii
by
Qian Qi, Cheng Zhang, Wenhua Wu, Qi Zhou, Chenran Lv, Xiaohui Sun and Feng Yang
Animals 2025, 15(21), 3122; https://doi.org/10.3390/ani15213122 (registering DOI) - 28 Oct 2025
Abstract
Ammonia is a key factor in the water, impacting the physiological functions of aquatic organisms. To explore the effect of ammonia stress on mature eggs, female A. baerii at the end of the fourth stage of ovarian development were subjected to varying ammonia
[...] Read more.
Ammonia is a key factor in the water, impacting the physiological functions of aquatic organisms. To explore the effect of ammonia stress on mature eggs, female A. baerii at the end of the fourth stage of ovarian development were subjected to varying ammonia concentrations (0 mg/L (control, C), 10 mg/L (low concentration, T1), and 50 mg/L (high concentration, T2)) for 96 h. After 96 h of stress, histological analysis revealed that the follicular membranes of group T1 remained intact and clear compared to group C, although the vacuole fusion had begun. In contrast, the T2 group exhibited ruptured follicular membranes and adhered yolk granules compared to the C group, indicating structural damage. Transcriptome analysis generated 97.89 Gb of clean data, with each sample yielding over 6.09 Gb. A total of 5576, 3719, and 9446 differentially expressed genes (DEGS) were screened from T1 vs. C, T2 vs. C, and T2 vs. T1 comparisons, respectively. Gene Ontology analysis (GO) functional enrichment analysis showed that DEGS were significantly enriched in multicellular organism processes (T1 vs. C), cell surface receptor signaling pathways (T2 vs. C), and immune system processes (T2 vs. T1) during biological processes. It indicates that ammonia exposure may enrich cellular components in the extracellular space, potentially disrupting the function of the extracellular matrix. Kyoto Encyclopedia of Genes and Genomes (KEGG) pathway enrichment indicated significant impacts on amino acid metabolism, particularly glutamate and arginine pathways, as well as key pathways involved in steroid biosynthesis and antioxidation. Weighted gene co-expression network analysis (WGCNA) revealed that a total of 26,369 DEGs were divided into 29 distinct modules, displaying obvious associations with their traits. In the T2 vs. C group, antioxidation-related genes such as GST and GCLM were significantly downregulated, and the expressions of key enzymes for steroid synthesis, such as CYP11A1, CYP17, and CYP19A1 were suppressed, indicating that high ammonia nitrogen concentrations impair oocyte function by inducing oxidative stress and disrupting hormone synthesis. This study provides a comprehensive repertoire of candidate genes associated with ammonia stress in the mature egg of A. baerii, which will be useful for development of sturgeon breeding and reproduction.
Full article
(This article belongs to the Special Issue Additives in Fish Stress: Comparative Endocrine and Physiological Responses)
►▼
Show Figures

Figure 1
Open AccessArticle
The Human Shield in Time but Not in Space: Scale-Dependent Responses of Small Indian Civet–Prey Interactions to Anthropogenic Disturbance
by
Chengpeng Ji, Xiaochun Huang, Yufang Lin, Yanan Cheng, Tongchao Le and Fanglin Tan
Animals 2025, 15(21), 3121; https://doi.org/10.3390/ani15213121 (registering DOI) - 28 Oct 2025
Abstract
Despite growing evidence of the widespread impacts of human activities on carnivores and their prey, it remains unclear how different types and intensities of human disturbance reshape predator–prey interactions. In this study, we conducted a systematic camera-trapping survey on a threatened carnivore, the
[...] Read more.
Despite growing evidence of the widespread impacts of human activities on carnivores and their prey, it remains unclear how different types and intensities of human disturbance reshape predator–prey interactions. In this study, we conducted a systematic camera-trapping survey on a threatened carnivore, the small Indian civet (Viverricula indica). This species forages on prey with contrasting diel patterns, including nocturnal rats and diurnal species such as Pallas’s squirrel (Callosciurus erythraeus) and Chinese bamboo partridge (Bambusicola thoracica) in the southern Wuyi Mountains of southeastern China. Based on data from an extensive sampling effort (60,901 trap days at 180 camera stations), we used kernel density estimation and Pianka’s index to examine whether and how different types and intensities of human activity (human presence, roads, and settlements), as well as diverse altitudes and different seasons, affect the spatiotemporal interactions between small Indian civets and their potential prey. We found that all studied species adjusted their activity patterns, either advancing or delaying their peaks, to achieve temporal segregation under varying types and intensities of human disturbance and different altitudes and seasons. At the temporal scale, interactions between small Indian civets and their potential prey supported the human shield hypothesis, suggesting that increased human disturbance provides diurnal prey with refuge from predation pressure. Conversely, at both spatial and spatiotemporal scales, higher levels of human disturbance increased the overlap between small Indian civets and their prey species. These findings highlight that human impacts on wildlife interactions are scale-dependent: temporal refuge for prey does not necessarily reduce spatial or spatiotemporal overlap, which may still increase encounter rates and predation risk. Because our sampling relied on ground-level cameras, our inferences are limited to terrestrial interactions; arboreal interactions remain unquantified and require combined ground–canopy sampling in future work. Effective conservation management thus requires considering these scale-dependent effects of human activities on wildlife interactions.
Full article
(This article belongs to the Section Wildlife)
►▼
Show Figures

Figure 1
Open AccessArticle
Influence of Lipid Sources on Performance, Egg Quality, and Metabolism in Laying Quails
by
Jean Kaique Valentim, Felipe Cardoso Serpa, Maria Fernanda de Castro Burbarelli, Alexander Alexandre de Almeida, Vivian Aparecida Rios de Castilho Heiss, Paulo Henrique Braz, Claudia Andrea Lima Cardoso, Claudia Marie Komiyama, Fabiana Ribeiro Caldara, Arele Arlindo Calderano, Sarah Sgavioli and Rodrigo Garofállo Garcia
Animals 2025, 15(21), 3120; https://doi.org/10.3390/ani15213120 (registering DOI) - 27 Oct 2025
Abstract
Japanese quail production can be optimized by selecting appropriate dietary lipid sources, yet comparative effects on performance and egg quality during the laying phase are not fully established. This study evaluated the impact of five lipid sources, namely soybean oil, corn oil, canola
[...] Read more.
Japanese quail production can be optimized by selecting appropriate dietary lipid sources, yet comparative effects on performance and egg quality during the laying phase are not fully established. This study evaluated the impact of five lipid sources, namely soybean oil, corn oil, canola oil, sunflower oil, and poultry fat, on performance, egg quality, nutrient metabolism, serum metabolites, and organ traits of 350 Japanese quail aged 60 days with an average weight of 170 ± 10 g. Birds were assigned to diets containing 2800 kcal/kg in a completely randomized design with 10 replicates of seven birds each. Performance was recorded over three 28-day periods and egg quality assessed at the end of each period; at 84 days, one bird per replicate was sampled for nutrient metabolism, serum metabolites, and organ characteristics, and a metabolism trial estimated metabolizability coefficients and metabolizable energy. Data were analyzed by Tukey’s test at the 5% level. Egg production (p = 0.010) and marketable egg production (p = 0.008) were highest with soybean, corn, and sunflower oils, while feed conversion per dozen eggs was less efficient with canola oil (p = 0.048). Egg quality differed in specific gravity (p = 0.027), yolk color (p = 0.008), Haugh unit (p = 0.011), and air cell size (p = 0.001), with poultry fat improving yolk color and Haugh unit. Canola oil increased dry matter (p = 0.027) and ether extract digestibility (p = 0.026), while serum metabolites, organ weights, and reproductive traits were not affected (p > 0.05). All diets supported physiological health, and lipid sources can be chosen according to cost and availability to optimize quail production without compromising performance or health.
Full article
(This article belongs to the Special Issue Poultry Nutrition and Management)
Open AccessFeature PaperArticle
Seasonal Heat Stress and the Postpartum Stage Interactively Influence Milk Fatty Acid Composition in Holstein Dairy Cows in Spain
by
Elena Niceas Martínez Diez, Rodrigo Muiño Otero, Cristina Castillo Rodríguez and Joaquín Hernández Bermúdez
Animals 2025, 15(21), 3119; https://doi.org/10.3390/ani15213119 (registering DOI) - 27 Oct 2025
Abstract
Climate change is intensifying heat stress conditions in livestock systems, posing significant challenges to animal welfare, productivity, and food quality. This study aims to investigate the combined effects of seasonal heat stress and postpartum physiology on the milk fatty acid (FA) profile of
[...] Read more.
Climate change is intensifying heat stress conditions in livestock systems, posing significant challenges to animal welfare, productivity, and food quality. This study aims to investigate the combined effects of seasonal heat stress and postpartum physiology on the milk fatty acid (FA) profile of Holstein dairy cows in Galicia, Spain. Forty milk samples were collected during winter and summer and at 1 week and 1 month postpartum. Fatty acid composition was analyzed via gas chromatography (GC-FID), and heat stress exposure was quantified using the temperature–humidity index (THI). Results revealed that heat stress significantly altered the milk lipid profile, with increased concentrations of short- and medium-chain fatty acids (SMCFA) such as C10:0 and C14:1 (n-5), and conjugated linoleic acids (CLAs), suggesting enhanced de novo lipogenesis and shifts in rumen fermentation. Conversely, unsaturated long-chain fatty acids (LCFAs), including cis-11 C18:1 and cis-13 C18:1, decreased with lactation progression and thermal exposure. Notably, certain LCFAs remained stable under combined seasonal and physiological stress, indicating potential metabolic regulation. These results show how milk composition is sensitive to environmental stress and emphasize the need for climate-resilient management to protect milk quality under global warming.
Full article
(This article belongs to the Special Issue Effects of Heat Stress on Animal Reproduction and Production)
►▼
Show Figures

Figure 1
Open AccessArticle
Effects of Different Levels of Lycium ruthenicum Leaves on Rumen Fermentation, Amino Acids, Fatty Acids and Rumen Bacterial Diversity in Sheep
by
Yaya Guo, Jinlong Li, Congbin Xu, Liangzhong Hou, Yuxia Yang, Yan Ma, Yong Tuo and Tongjun Guo
Animals 2025, 15(21), 3118; https://doi.org/10.3390/ani15213118 (registering DOI) - 27 Oct 2025
Abstract
Lycium ruthenicum leaves (LRL), as an agricultural by-product rich in bioactive compounds, can be used as an unconventional feedstuff in animal diets and have the potential to improve animal health. This study investigates the effects of dietary supplementation with graded levels of LRL
[...] Read more.
Lycium ruthenicum leaves (LRL), as an agricultural by-product rich in bioactive compounds, can be used as an unconventional feedstuff in animal diets and have the potential to improve animal health. This study investigates the effects of dietary supplementation with graded levels of LRL on rumen fermentation, meat amino acid and fatty acid profiles, and rumen bacterial diversity in sheep. Forty three-month-old male Dorper × Hu crossbred F1 lambs with an initial body weight of 29.58 ± 2.06 kg were randomly assigned to four groups (n = 10). Over a continuous 63-day trial period, the lambs were fed diets containing 0%, 5%, 10%, and 15% LRL, respectively. At the end of the trial, rumen fluid and longissimus dorsi muscle samples were collected to assess rumen fermentation characteristics, bacterial community structure, and meat quality. The results showed that: (1) The concentrations of acetate, butyrate, and total volatile fatty acids (TVFA) in the rumen were increased in the LRL5% group (p < 0.05 or p < 0.01). (2) The relative abundance of the phylum Firmicutes and the genus Ruminococcus increased (p < 0.05), while the relative abundance of the genus Prevotella decreased (p < 0.05) in the LRL5% group. (3) Meat L* increased (p < 0.05), and a* decreased (p < 0.05) in the LRL-supplemented groups. (4) The content of sweet amino acids in meat increased in LRL groups (p < 0.05). Moreover, the contents of non-essential amino acids, sweet amino acids, and total amino acids in meat increased linearly with increasing dietary LRL levels (p < 0.05). (5) Compared with the CON group, the content of C18:0 in meat decreased in the LRL5% group (p < 0.05), while the content of C20:1 increased in the LRL10% group (p < 0.05). In conclusion, dietary supplementation with LRL can improve meat quality, rumen fermentation, and rumen bacterial community structure in sheep. The recommended dietary inclusion level of LRL ranges from 5% to 15%.
Full article
(This article belongs to the Special Issue Advanced Welfare-Oriented, Efficient, and High-Quality Ruminant Production: Mechanisms and Practices)
Open AccessArticle
In Vitro Fermentation Characteristics of Dietary Fibers Using Fecal Inoculum from Dogs Consuming a Dried Brewers Yeast Product
by
Vanessa M. De La Guardia Hidrogo, Patricia M. Oba, Dalton A. Holt, Laura L. Bauer, Lindsey M. Rummell, Ryan N. Dilger and Kelly S. Swanson
Animals 2025, 15(21), 3117; https://doi.org/10.3390/ani15213117 (registering DOI) - 27 Oct 2025
Abstract
The increasing demand for functional ingredients has drawn attention to yeast and yeast-derived ingredients in pet foods. This experiment aimed to evaluate the in vitro fermentation characteristics of common dietary fibers using fecal inoculum from dogs fed either a control diet (CTRL) or
[...] Read more.
The increasing demand for functional ingredients has drawn attention to yeast and yeast-derived ingredients in pet foods. This experiment aimed to evaluate the in vitro fermentation characteristics of common dietary fibers using fecal inoculum from dogs fed either a control diet (CTRL) or a diet supplemented with dried brewers yeast at 1.5% inclusion (BY). Sixteen healthy adult dogs were acclimated for 7 d and then randomly assigned to the two treatments (n = 8/group) for 21 d. Fecal samples collected at the end of the treatment period, were preserved in 20% glycerol and later used as inoculum for in vitro fermentation of beet pulp, pectin, and cellulose over 0, 6, 12, or 18 h. Fermentation patterns differed among fiber substrates. Pectin was highly fermentable, beet pulp showed moderate fermentation, and cellulose was minimally fermented, as indicated by SCFA production and pH changes. Within each fiber, BY inocula produced more SCFA and a lower pH than CTRL after 18 h, with the largest SCFA differences observed in beet pulp tubes (3549 vs. 2980 μmole/g) and the greatest pH differences in pectin tubes (−1.66 vs. –1.54). Microbiota analysis revealed increased relative abundances of SCFA-producing genera, along with reduced relative abundances of Fusobacterium, Streptococcus, and Sutterella. Overall, dried brewers yeast supplementation can influence canine gastrointestinal microbiota composition and fermentative activity in vitro.
Full article
(This article belongs to the Section Companion Animals)
►▼
Show Figures

Figure 1
Open AccessArticle
Role of Illumination and Light Colour Temperature in the Preference Behaviour of Weaned Piglets
by
Sven Götz, Klaus Reiter, Monika Wensch-Dorendorf, Eberhard von Borell and Camille M. C. Raoult
Animals 2025, 15(21), 3116; https://doi.org/10.3390/ani15213116 (registering DOI) - 27 Oct 2025
Abstract
This study investigated the preference behaviour of 24 four-week-old weaned piglets under different lighting conditions (0 lux with 0 Kelvin vs. 80 lux with 3000 Kelvin vs. 6500 Kelvin). Two trials with 12 piglets each were conducted over five weeks in a room
[...] Read more.
This study investigated the preference behaviour of 24 four-week-old weaned piglets under different lighting conditions (0 lux with 0 Kelvin vs. 80 lux with 3000 Kelvin vs. 6500 Kelvin). Two trials with 12 piglets each were conducted over five weeks in a room with four interconnected pens, allowing free movement between the pens. Pens A and B were nearly dark (~0 lux), while pen C (80 lux, 3000 Kelvin) and pen D (80 lux, 6500 Kelvin) were illuminated. On three days in weeks 1, 3 and 5, behaviour (lying, eating and activity) was recorded using video observations and a 5 min time sampling method. Cleanliness was also monitored daily. In the first week, piglets in the first batch preferred the darkened pens, whereas piglets in the second batch preferred illuminated pens, especially when the colour temperature was 3000 Kelvin. By the third week, piglets in the second batch now preferred darker areas. In the fifth week, the piglets spent more time in the dark in the mornings and evenings but showed no preference for colour temperature. The darkened pens remained mostly clean, whereas pen D, which had a light colour temperature of 6500 Kelvin, was the most soiled. The results show that piglet behaviour changes with age and the time of day, suggesting that lighting concepts can be adapted to improve both animal welfare and pen hygiene.
Full article
(This article belongs to the Special Issue Advances in Swine Housing, Health and Welfare)
►▼
Show Figures

Figure 1
Open AccessArticle
The Effect of in Ovo Injection Time and Dose of Maggot Oil from Black Soldier Fly (Hermetia illucens) on Hatching Rate, Growth Performance, and Biochemical Parameters of Broiler Chicks
by
Yendouhamtchié Nadiedjoa, Xiaojuan Wang, Komi Attivi, Maxwell A. Okai, Qian Xin, Ahmed Mijiyawa, Clarice T. Maa Maa, Jingpeng Zhao, Hongchao Jiao, Komi Agboka, Hai Lin and Kokou Tona
Animals 2025, 15(21), 3115; https://doi.org/10.3390/ani15213115 (registering DOI) - 27 Oct 2025
Abstract
There is an energy deficiency during the later stage of embryonic development, as the metabolic demands show an “explosive increase”. Vegetable oils are already used for in ovo feeding in poultry to provide energy for the embryos. What would be the effectiveness of
[...] Read more.
There is an energy deficiency during the later stage of embryonic development, as the metabolic demands show an “explosive increase”. Vegetable oils are already used for in ovo feeding in poultry to provide energy for the embryos. What would be the effectiveness of animal oils used as alternative energy sources for the chicken embryo? To find out more, BSF larvae oil was used for in ovo feeding of the chicken embryo in this study. A total of 2300 Arbor Acres chicken eggs were used for incubation. On the tenth day of incubation, 2268 eggs were selected after candling and then divided into three groups for in ovo feeding in the yolk sac on the 11th, 14th, and 17th days of incubation. Each group was divided into seven lots, such as CON−, CON+, L0.1, L0.2, L0.3, L0.4, and L0.5. The CON− and CON+ were not injected. L0.1, L0.2, L0.3, L0.4, and L0.5 were pierced and then received the injection of 0.1 mL, 0.2 mL, 0.3 mL, 0.4 mL, and 0.5 mL of BSF maggot oil per egg, respectively. After hatching, 48 chicks from each lot of each group were housed in cages and then fed the same diet for six weeks. A better hatch rate and growth performance were observed for lots L0.1 and L0.2 compared to the other lots on the 14th and 17th days of incubation (p < 0.05). The injected lots showed reduced levels of low-density lipoprotein (LDL) cholesterol (p < 0.05). The injection of 0.1 mL BSF maggot oil on the 17th day of incubation had 0% embryonic mortality and 100% hatching success. In conclusion, BSF larvae oil can be used as an energy source for in ovo injection, with a dose of 0.1 mL on the 17th day of incubation being most effective and recommended.
Full article
(This article belongs to the Special Issue Poultry Nutrition and Management)
►▼
Show Figures

Graphical abstract
Open AccessFeature PaperArticle
Study of the Nasal Cavity of the Cadaveric Yellow-Legged Gull (Larus michahellis atlantis) Through Anatomical Cross-Sections and Computed Tomography
by
Jose Raduan Jaber, Manuel Morales, Alvaro Ros, Pablo Paz-Oliva, Natalia Roldán-Medina, Alejandro Morales-Espino, Alberto Arencibia and Soraya Déniz
Animals 2025, 15(21), 3114; https://doi.org/10.3390/ani15213114 (registering DOI) - 27 Oct 2025
Abstract
Understanding the anatomy of the avian nasal cavity and paranasal sinuses is essential for diagnosing respiratory diseases and interpreting imaging findings. However, detailed tomographic descriptions of these structures are scarce in seabirds. This study aimed to provide an anatomical and radiological characterization of
[...] Read more.
Understanding the anatomy of the avian nasal cavity and paranasal sinuses is essential for diagnosing respiratory diseases and interpreting imaging findings. However, detailed tomographic descriptions of these structures are scarce in seabirds. This study aimed to provide an anatomical and radiological characterization of the nasal cavity and associated sinuses of the yellow-legged gull (Larus michahellis atlantis). Computed tomography (CT) was performed on eight cadaveric specimens using a 16-slice helical scanner with bone and pulmonary window settings. Anatomical cross-sections of the same heads were subsequently obtained to correlate and validate CT findings. CT imaging clearly delineated major nasal structures, including the rostral, middle, and caudal nasal conchae, the nasal septum, and the infraorbital sinus, as well as their connections to adjacent cranial bones. The integration of CT and anatomical cross-sections provided detailed spatial relationships and accurate visualization of the internal nasal architecture. This study demonstrates the value of CT for examining avian cranial anatomy and provides a morphological reference framework that may aid in diagnosing nasal and sinus pathologies in seabirds.
Full article
(This article belongs to the Section Veterinary Clinical Studies)
►▼
Show Figures

Figure 1
Open AccessFeature PaperArticle
Effects of an Immunomodulatory Supplement and Evaporative Cooling on Immune Status, Mammary Gland Microstructure, and Gene Expression of Cows Exposed to Heat Stress During the Dry Period
by
Thiago F. Fabris, Jimena Laporta, Fabiana N. Corra, Yazielis M. Torres, David J. Kirk, James D. Chapman and Geoffrey E. Dahl
Animals 2025, 15(21), 3113; https://doi.org/10.3390/ani15213113 (registering DOI) - 27 Oct 2025
Abstract
Nutritional and cooling strategies to abate the negative effects of heat stress during the dry period have been used to improve the performance of dairy cattle. The objective of this study was to evaluate the effects of feeding an immunomodulatory supplement (OmniGen-AF®
[...] Read more.
Nutritional and cooling strategies to abate the negative effects of heat stress during the dry period have been used to improve the performance of dairy cattle. The objective of this study was to evaluate the effects of feeding an immunomodulatory supplement (OmniGen-AF®, OMN) before, during, and after exposure to either heat stress or active cooling during the dry period on immune function and mammary development in dairy cows. During late lactation (at least 60 d before dry off), cows were provided with evaporative cooling systems (shade, fans, and soakers) and assigned to two groups: placebo (56 g/d of AB20® top-dressed; CON) or OmniGen-AF® (OMN, 56 g/d top-dressed). Cows were dried off ~46 d before the expected calving date and further split into evaporative cooling (shade, fans, and soakers; CL) or heat stress (only shade; HT) pens. Thus, after dry off, there were four treatment groups: heat stress with placebo (HT, n = 17), HT with OMN supplementation (HT + OMN, n = 19), CL with placebo (CL, n = 16), and CL with OMN supplementation (CL + OMN, n = 11). From a subset of cows (n = 6–8 per group), four blood samples were collected during the dry period (−43, −39, −32, and −21 d relative to calving) to evaluate neutrophil function and blood hematology. In addition, mammary biopsies (4–6 cows/treatment) were collected at −43, −39, −32, and −21 d relative to calving to evaluate mammary gland gene expression and histology, i.e., Tdt dUTP nick-end labeling (TUNEL) and Ki67. Genes related to autophagy, apoptosis, and cell proliferation were analyzed by qRT-PCR. Relative to CL, HT downregulated the expression of beclin-2 (BECN2) but upregulated the expression of beclin-1 (BECN1) on days −43 and −39 relative to calving, respectively. Also, relative to CL, HT upregulated the expression of BAX and FAS on day −39 relative to calving. These differences in gene expression were followed by HT cows having a lower total cell apoptosis rate during involution relative to CL cows. Further to these effects, HT leads to a lower alveoli number relative to CL cows. As in the CL treatment, OMN cows have a higher total cell apoptosis rate and alveoli number relative to CON cows. In addition, OMN cows have higher total cell proliferation relative to CON. Prolactin (PRL) and cortisol concentrations were evaluated during the dry period at days −45, −26, −3, and −1 relative to calving. Relative to CL, HT cows had higher PRL at day −45 but lower PRL on day −1 relative to calving, and a similar trend was observed for cortisol concentrations. In summary, HT impacts mammary gland gene expression, compromises mammary involution, reduces alveoli number, and alters hormone dynamics throughout the dry period. Following the same trends as the CL treatment, OMN increases mammary gland turnover by having a higher cell apoptosis and cell proliferation rate and lower connective tissue relative to CON cows.
Full article
(This article belongs to the Special Issue Effects of Heat Stress on Animal Reproduction and Production)
►▼
Show Figures

Figure 1
Open AccessArticle
Breed-Specific Anaesthetic Mortality in Dogs: Evidence from an Analysis of 55,019 Cases
by
José I. Redondo, Fernando Martínez-Taboada, Eva Zoe Hernández-Magaña, Luis Domenech, Jaime Viscasillas and Pablo Otero
Animals 2025, 15(21), 3112; https://doi.org/10.3390/ani15213112 - 27 Oct 2025
Abstract
Anaesthesia in dogs carries measurable risk, and whether this varies by breed is uncertain. We analysed a prospective, multicentre cohort of 55,019 canine anaesthetic procedures from premedication to 48 h post-extubation; after excluding euthanasias and non-anaesthetic deaths, 54,542 anaesthetics remained. Mixed-breed dogs served
[...] Read more.
Anaesthesia in dogs carries measurable risk, and whether this varies by breed is uncertain. We analysed a prospective, multicentre cohort of 55,019 canine anaesthetic procedures from premedication to 48 h post-extubation; after excluding euthanasias and non-anaesthetic deaths, 54,542 anaesthetics remained. Mixed-breed dogs served as the benchmark. Unadjusted mortality by breed, Fédération Cynologique Internationale (FCI) groups and sections used Wilson 95% CIs and χ2/Fisher tests; robust Poisson models adjusted for ASA status. Overall mortality was 0.69% (378/54,542; 95% CI 0.62–0.76), with mixed-breed dogs at 0.68% (109/16,129). Unadjusted rates were higher for German Shepherd Dog (1.46%), Chihuahua (1.35%) and Bulldog (1.26%); no FCI group differed, while the Chihuahueno section was higher. Brachycephalic dogs showed higher crude mortality than non-brachycephalics (0.82% vs. 0.65%), but this attenuated with ASA adjustment (RR 1.19, 95% CI 0.96–1.47). MDR1-associated breeds did not differ in crude or adjusted analyses (adjusted RR, 1.14; 95% CI, 0.61–2.14). After ASA adjustment, excess risk persisted for Chihuahua (RR 1.80, 95% CI 1.08–2.99) and Spanish Water Dog (RR 2.72, 95% CI 1.23–6.01), but not for German Shepherd Dog or Bulldog. Anaesthetic mortality was low overall; between-breed differences largely reflected case severity, supporting breed-aware, ASA-centred risk communication and further breed-specific research.
Full article
(This article belongs to the Section Veterinary Clinical Studies)
►▼
Show Figures

Figure 1
Open AccessArticle
Effects of Dietary Chromium Supplementation During Late Lactation on Productive Performance, Milk Composition, and Immune and Antioxidant Responses in Dairy Cows
by
Natália Turcatto, Guilherme Luiz Deolindo, Maksuel Gatto de Vitt, Maisa Damo, João Gustavo Weschenfelder Wandscheer, Daiane Manica, Gilnei Bruno da Silva, Margarete Dulce Bagatini and Aleksandro Schafer Da Silva
Animals 2025, 15(21), 3111; https://doi.org/10.3390/ani15213111 - 27 Oct 2025
Abstract
The study evaluated whether organic chromium supplementation in the diets of Jersey cows in the final third of lactation has positive effects on productive performance and milk quality, as well as markers of metabolism, hematology, immunological, and oxidative response. We used 22 cows
[...] Read more.
The study evaluated whether organic chromium supplementation in the diets of Jersey cows in the final third of lactation has positive effects on productive performance and milk quality, as well as markers of metabolism, hematology, immunological, and oxidative response. We used 22 cows in a 56-day study, divided into two groups: control (n = 11) and chromium treatment at 10 mg/kg of dry matter per day (n = 11). We evaluated these animals’ productive performance markers (milk production, feed intake, and lactation persistence), milk quality (composition and somatic cell counts), and blood biomarkers to assess animal health. Chromium concentration at the beginning of the experiment was within normal limits for the animal category (221 to 246 nM). The cows’ consumption of organic chromium increased its bioavailability in the body, with higher concentration in the serum (p = 0.01) and milk (p = 0.013) of Jersey cows compared to the control cows. Supplementing cows with chromium resulted in higher fat-corrected milk production (p = 0.05), longer lactation persistence (p = 0.05), and feed efficiency (p = 0.02) compared to the control group. There was a lower SCC (p = 0.01) on days 28, 42, and 56, as well as a higher percentage of fat in the milk of supplemented cows on days 28 and 42 compared to that of the control group (p = 0.01). As a treatment effect (p ≤ 0.05), we found cows supplemented with chromium had a higher concentration of insulin, immunoglobulin G, and creatine kinase activity dismutase compared to control animals. Considering the treatment × day interaction (p ≤ 0.05), we observed greater activity of the creatine kinase enzymes (days 14, 28, and 56), as well as lower cholinesterase activity (days 42 and 56) compared to those of the control. The concentration of globulins (p = 0.05) and immunoglobulin G (p = 0.01) on day 56 was higher in cows that consumed chromium. Higher superoxide dismutase activity on days 42 and 56 (p = 0.04) was observed in the blood of cows supplemented with organic chromium compared to that of the control. Therefore, we conclude that the addition of organic chromium was beneficial to maintaining lactation persistence and increasing fat-corrected milk production.
Full article
(This article belongs to the Special Issue Feed Additives in Animal Nutrition)
►▼
Show Figures

Figure 1
Open AccessArticle
A Preliminary Study on Species Identification of Immature Necrophagous Phorid Flies Based on FTIR Spectroscopy
by
Wutong Jia, Dianxing Feng and Yanan Tang
Animals 2025, 15(21), 3110; https://doi.org/10.3390/ani15213110 - 26 Oct 2025
Abstract
►▼
Show Figures
Phorid flies serve as the main colonizers of human remains in both indoor and burial environments. Their developmental patterns can be utilized to estimate the minimum postmortem interval (minPMI). Accurate species identification, particularly for immature stages, is essential before utilizing their developmental data
[...] Read more.
Phorid flies serve as the main colonizers of human remains in both indoor and burial environments. Their developmental patterns can be utilized to estimate the minimum postmortem interval (minPMI). Accurate species identification, particularly for immature stages, is essential before utilizing their developmental data to estimate minPMI. This study employed Fourier transform infrared spectroscopy (FTIR) coupled with principal components analysis (PCA) and partial least squares-discriminant analysis (PLS-DA) to investigate species identification of eggs (0 h, 8 h, 16 h), larvae (12 h, 60 h, 84 h), and pupae (1 d, 5 d, 10 d) of three necrophagous Phoridae species, Dohrniphora cornuta, Diplonevra funebris, and Megaselia scalaris at 24 °C. The results showed that the FTIR spectra within the fingerprint region (1800–900 cm−1) differed among the three immature phorid flies. These differences were primarily manifested in absorption peak intensities. The PLS-DA analysis successfully distinguished the three species at the same developmental stage. This study demonstrated the feasibility of utilizing FTIR spectroscopy coupled with chemometric methods to both rapidly identify the species of immature small flies and simultaneously estimate their age.
Full article

Figure 1
Open AccessArticle
Effects of Multiple Stressors on the Spatial Pattern of Fish Diversity in the Middle and Lower Reaches of the Han River, China
by
Zhiyuan Qi, Fei Xiong, Xingkun Hu, Dongdong Zhai, Le Hu, Yanfu Que, Xinbin Duan, Yuanyuan Chen, Hongyan Liu and Bin Zhu
Animals 2025, 15(21), 3109; https://doi.org/10.3390/ani15213109 - 26 Oct 2025
Abstract
Human activities have altered rivers worldwide, but how their combined effects shape fish assemblages remains unclear. We therefore surveyed fish and habitats seasonally along the middle and lower reaches of the Han River, China, during 2022, specifically in June–August (wet season) and October–November
[...] Read more.
Human activities have altered rivers worldwide, but how their combined effects shape fish assemblages remains unclear. We therefore surveyed fish and habitats seasonally along the middle and lower reaches of the Han River, China, during 2022, specifically in June–August (wet season) and October–November (dry season). This study analyzed the spatial distribution pattern of fish diversity, explored the effects of natural factors (e.g., hydrology, water quality) and human stressors (e.g., dam, land use) on the spatial pattern of fish diversity, and identified the key driving factors. Cluster analysis and Non-metric Multidimensional Scaling (NMDS) showed that the fish communities could be divided into three groups: the Danjiangkou reservoir area (DRA), the middle reaches (MR), and the lower reaches (LR). For α-diversity, the LR had the highest value, followed by the DRA, with the MR being the lowest. For β-diversity, the MR had the highest value, followed by the LR, with the DRA being the lowest. Random Forest model showed that fish diversity was mainly affected by natural factors; among these factors, the key drivers of α-diversity were hydrological factors such as the water level (3.56–5.97%) and river width (4.53–4.69%), while for β-diversity, the key drivers were water quality factors, including the dissolved oxygen (10.08–12.36%), total nitrogen (6.49–9.31%), and chlorophyll a (8.26–8.40%). Structural Equation Modeling further revealed that natural factors affected β-diversity mainly through direct pathways, while human stressors affected β-diversity mainly through indirect pathways. The results revealed the differential roles of natural factors and human stressors in driving the patterns of fish α-diversity and β-diversity in human-disturbed rivers, which will provide a scientific basis for the conservation of fish diversity in the Han River.
Full article
(This article belongs to the Special Issue Changes in Population Characteristics of Marine and Freshwater Organisms and Their Environmental Driving Factors)
►▼
Show Figures

Figure 1
Open AccessArticle
Unraveling Fish Community Assembly Rules in Coastal China Seas Based on Hierarchical Modeling of Species Communities
by
Li Lin, Yang Liu and Bin Kang
Animals 2025, 15(21), 3108; https://doi.org/10.3390/ani15213108 - 26 Oct 2025
Abstract
To address uncertainties in how threatened coastal China seas fish communities respond to stressors like overfishing and climate change, this study applied Hierarchical Modelling of Species Communities (HMSC) to disentangle the assembly rules shaping these communities, filling a critical gap in understanding their
[...] Read more.
To address uncertainties in how threatened coastal China seas fish communities respond to stressors like overfishing and climate change, this study applied Hierarchical Modelling of Species Communities (HMSC) to disentangle the assembly rules shaping these communities, filling a critical gap in understanding their spatiotemporal dynamics. We analyzed data on 384 fish species (1980–2018) and key environmental factors, with variance partitioning revealing that environmental filtering dominated fish distributions (explaining over 99% of variance), far outweighing random effects (0.60%). Among environmental drivers, sea surface temperature (49.00%) and sea surface salinity (33.25%) were the most influential, while seafloor substrate and water depth played secondary roles; notably, fewer species occupied fine sand habitats, and more preferred silt habitats. Residual species associations—indicative of potential biotic interactions—were most frequent within Gobiidae, likely due to this highly diverse taxon’s specialized resource utilization and wide distribution, highlighting that biotic filtering is concentrated and ecologically relevant within this group. This work demonstrates HMSC’s utility in unraveling coastal fish community assembly, providing a robust basis for predicting community changes and guiding biodiversity conservation efforts that support ocean health and dependent human activities.
Full article
(This article belongs to the Special Issue Ecology and Conservation of Marine Fish)
►▼
Show Figures

Graphical abstract
Open AccessArticle
Fourier Transform Infrared Spectroscopy to Measure Cholesterol in Goat Spermatozoa
by
N. Cortés-Fernández-de-Arcipreste, A. J. Cardenas-Padilla, A. Alcantar-Rodriguez, A. Vázquez-Durán, A. Méndez-Albores and A. Medrano
Animals 2025, 15(21), 3107; https://doi.org/10.3390/ani15213107 - 26 Oct 2025
Abstract
Sperm cryopreservation produces a series of physicochemical phenomena that negatively impact the function and structure of spermatozoa, including the mobilization of cholesterol from the plasma membrane. The use of attenuated total reflection–Fourier-transform infrared spectroscopy (ATR-FTIR) may be useful to measure the cholesterol efflux
[...] Read more.
Sperm cryopreservation produces a series of physicochemical phenomena that negatively impact the function and structure of spermatozoa, including the mobilization of cholesterol from the plasma membrane. The use of attenuated total reflection–Fourier-transform infrared spectroscopy (ATR-FTIR) may be useful to measure the cholesterol efflux in goat spermatozoa. Therefore, the objective of this study was to standardize the use of ATR-FTIR to measure the efflux of cholesterol in goat spermatozoa. Standardization of the technique was carried out in three stages: (i) determination of the appropriate sperm concentration to detect cholesterol in the FTIR spectrum; (ii) determination of the minimum percentage of viable spermatozoa required to observe at least five spectral bands in common with pure cholesterol; (iii) assessment of cholesterol removal in frozen–thawed spermatozoa. Possible differences in the areas of the spectral bands were compared by one-way ANOVA. Nineteen spectra were obtained: pure cholesterol, sperm transport medium, five different sperm concentrations, and ten live/dead sperm proportions (heat and cold-killed). The lowest sperm concentration at which spectral bands were clearly identified was 13 × 106 sperm/mL. Regarding viability, the cut-off value was 50%: higher values produced spectral bands clearly detectable, whereas in smaller values, the band’s areas decreased sharply, making it difficult to quantify them. Five areas of the cholesterol bands decreased in thawed samples compared to fresh spermatozoa; an increase in the proportion of frozen–thawed sperm showing Merocyanine brilliant pattern, indicative of high fluidity, as well as an increase in the proportion of CTC AR pattern, indicative of acrosome reaction, support those results. In conclusion, ATR-FTIR is a useful technique for identifying the movement of cholesterol in goat buck spermatozoa.
Full article
(This article belongs to the Special Issue Sperm Quality Assessment in Domestic Animals)
►▼
Show Figures

Figure 1
Open AccessFeature PaperArticle
Ovarian Remnant Syndrome in Bitches and Queens: Clinical Aspects and Potential Neoplastic Transformations
by
Daniele Zambelli, Giulia Ballotta, Dina Guerra and Marco Cunto
Animals 2025, 15(21), 3106; https://doi.org/10.3390/ani15213106 - 26 Oct 2025
Abstract
Ovarian remnant syndrome (ORS) is a recognized postoperative complication in spayed dogs and cats, resulting from incomplete excision or inadvertent revascularisation of ovarian tissue during gonadectomy. Affected animals typically exhibit recurrent oestrous behaviour and may develop serious sequelae, including stump pyometra, mammary neoplasia,
[...] Read more.
Ovarian remnant syndrome (ORS) is a recognized postoperative complication in spayed dogs and cats, resulting from incomplete excision or inadvertent revascularisation of ovarian tissue during gonadectomy. Affected animals typically exhibit recurrent oestrous behaviour and may develop serious sequelae, including stump pyometra, mammary neoplasia, and granulosa cell tumours. This retrospective study evaluated 93 cases (70 dogs, 23 cats) diagnosed with ORS referred to the University Veterinary Hospital of Bologna, Italy, focusing on signalment, clinical presentation, diagnostic protocols, and treatment outcomes. Diagnosis relied on a multimodal approach combining clinical history, vaginal cytology, serum progesterone assays, ultrasonography, and histopathological examination of excised tissue. Surgical excision of residual ovarian tissue was the only curative treatment, with improved outcomes when performed during hormonally active phases of the oestrous cycle to optimize remnant localisation. Histopathology confirmed ovarian tissue in the majority of cases, with neoplastic transformation identified in 10% of dogs. Bilateral ovarian remnants were more prevalent than previously reported. Surgical revision was complicated by adhesions involving vital abdominal structures, emphasizing the need for meticulous technique. These findings highlight the critical importance of precise surgical technique during initial gonadectomy, early recognition of ORS, and comprehensive surgical management to prevent severe complications and promote companion animal welfare.
Full article
(This article belongs to the Section Animal Reproduction)
Open AccessArticle
Genetic Inheritance and the Impact of Low Birth Weight on the Incidence of Cryptorchidism in Hyperprolific Sows
by
Thanut Wathirunwong, Padet Tummaruk, Sarthorn Porntrakulpipat and Jatesada Jiwakanon
Animals 2025, 15(21), 3105; https://doi.org/10.3390/ani15213105 - 25 Oct 2025
Abstract
Cryptorchidism in piglets, characterized by undescended testicles, causes economic losses and reduces consumer acceptance. Hyperprolific sows (HPS) have been hypothesized to produce a higher incidence of cryptorchid offspring. This study investigated the incidence of cryptorchidism in piglets born to HPS and its association
[...] Read more.
Cryptorchidism in piglets, characterized by undescended testicles, causes economic losses and reduces consumer acceptance. Hyperprolific sows (HPS) have been hypothesized to produce a higher incidence of cryptorchid offspring. This study investigated the incidence of cryptorchidism in piglets born to HPS and its association with piglet birth weight and litter size in an observational study. Data from 276 litters (144 Landrace × Yorkshire sows; 4003 piglets) were analyzed. Sows were classified by genetic line (conventional: 68 litters; HPS: 208 litters) and parity (primiparous: 144; second parity: 132). At first parity, all gilts were inseminated with semen from a phenotypically unilateral cryptorchid Duroc boar, whereas at second parity, semen from three normal Duroc boars, which were full siblings, was used. The Landrace × Yorkshire HPS line produced more piglets per litter than the conventional Landrace × Yorkshire line (16.5 ± 0.3 vs. 12.4 ± 0.6; p < 0.001). Cryptorchidism occurred in 25.7% (37/144) of litters inseminated with semen from the cryptorchid boar, compared with 3.8% (5/132) of litters inseminated with semen from normal boars (p < 0.001). In total, 42 sows produced at least one cryptorchid piglet across both parities. Among affected sows (n = 42), the average number of cryptorchid piglets per litter was 1.3 ± 0.6 (range: 1–3). In the HPS line, cryptorchidism was detected in 24.1% (26/108) of litters, compared with 30.6% (11/36) in the conventional line (p = 0.441). HPS piglets had lower birth weights than conventional piglets (1.14 ± 0.01 vs. 1.30 ± 0.02 kg; p < 0.001). In the HPS line, litters with cryptorchid piglets had lower birth weights than those without (1.11 ± 0.02 vs. 1.18 ± 0.01 kg; p = 0.012), whereas no difference was observed in the conventional line (1.31 ± 0.04 vs. 1.28 ± 0.02 kg; p = 0.917). Litter size did not differ between litters with and without cryptorchid piglets in either genetic line. In conclusion, the lower average birth weight in cryptorchid litters of the HPS line, but not in conventional lines, suggests that HPS breeds may influence cryptorchidism incidence. These findings highlight the need to optimize fetal growth especially in the HPS to reduce this risk.
Full article
(This article belongs to the Special Issue Best Management Practices for Breeding Sows and Boars)
Open AccessArticle
Modulation of Milk Source Differences on Immunity, Nutritional Physiology and Intestinal Microbiota in Neonatal Piglets
by
Junhong Liu, Miaomiao Bai, Shanshan Wang, Yihui Zhang, Changfeng Peng, Yirui Shao, Xia Xiong, Yueyao Xing and Hongnan Liu
Animals 2025, 15(21), 3104; https://doi.org/10.3390/ani15213104 - 25 Oct 2025
Abstract
Milk sources directly influence digestion, absorption, and overall nutrient utilization during early infant nutrition. Goat milk features a nutritional composition and digestive properties that are more similar to human breast milk. This study aimed to investigate the effects of different milk sources on
[...] Read more.
Milk sources directly influence digestion, absorption, and overall nutrient utilization during early infant nutrition. Goat milk features a nutritional composition and digestive properties that are more similar to human breast milk. This study aimed to investigate the effects of different milk sources on the immunity, amino acid and fatty acid metabolism, and intestinal microbiota in neonatal piglets. Sixteen 7-day-old suckling piglets were randomly allocated into two groups (eight replicates/group, one piglet/replicate) and fed with standard formula milk powder (CON) and goat milk formula powder (GMF). The formal experiment lasted for 14 days. Results showed that compared with the CON group, the GMF group showed a significant increase (p < 0.05) in the final weight, the serum levels of immunoglobulin A (IgA), IgG, IgM and C-reactive protein (CRP4), and intestinal trypsin content. Additionally, the GMF group had higher (p < 0.05) serum essential and non-essential amino acid and fatty acid levels, and had trends toward upregulation (0.05 < p < 0.1) in hepatic mRNA expression of spermine N1-acetyltransferase 1 (SAT1), duodenal peptide transporter 1 (PePT1), and jejunal cationic amino acid transporter 1 (CAT1). Microbiome sequencing revealed that GMF enhanced intestinal microbial richness and diversity and increased concentrations of acetic and propionic acids (p < 0.05). In conclusion, GMF suggests a potential improvement in the growth performance by enhancing immunity, amino acid and fatty acid metabolism and optimizing intestinal microbiota composition in neonatal piglets. These findings further support the favorable nutritional properties and tolerability of GMF in early-life nutrition.
Full article
(This article belongs to the Special Issue Feeding Strategies to Improve the Health or Development of Piglets)
►▼
Show Figures

Figure 1
Journal Menu
► ▼ Journal Menu-
- Animals Home
- Aims & Scope
- Editorial Board
- Reviewer Board
- Topical Advisory Panel
- Instructions for Authors
- Special Issues
- Topics
- Sections & Collections
- Article Processing Charge
- Indexing & Archiving
- Editor’s Choice Articles
- Most Cited & Viewed
- Journal Statistics
- Journal History
- Journal Awards
- Society Collaborations
- Conferences
- Editorial Office
Journal Browser
► ▼ Journal BrowserHighly Accessed Articles
Latest Books
E-Mail Alert
News
Topics
Topic in
Animals, Computers, Information, J. Imaging, Veterinary Sciences
AI, Deep Learning, and Machine Learning in Veterinary Science Imaging
Topic Editors: Vitor Filipe, Lio Gonçalves, Mário GinjaDeadline: 31 October 2025
Topic in
Biology, Data, Diversity, Fishes, Animals, Conservation, Hydrobiology
Intersection Between Macroecology and Data Science
Topic Editors: Paulo Branco, Gonçalo DuarteDeadline: 30 November 2025
Topic in
Animals, Cells, Life, Veterinary Sciences
Application of Animal Models: From Physiology to Pathology
Topic Editors: Juan Carlos Illera del Portal, Sara Cáceres Ramos, Felisbina Luisa QueirogaDeadline: 20 December 2025
Topic in
Animals, Antioxidants, Metabolites, Pets, Veterinary Sciences
Research on Companion Animal Nutrition
Topic Editors: Baichuan Deng, Lian Li, Yun JiDeadline: 31 December 2025
Conferences
Special Issues
Special Issue in
Animals
Feed Additives for Improving the Immunity of Aquatic Animals
Guest Editors: Yang Ding, Álvaro Fernández-MonteroDeadline: 29 October 2025
Special Issue in
Animals
Buffalo Farming as a Tool for Sustainability
Guest Editors: Antonio Borghese, Antonella Chiariotti, Carlo BoselliDeadline: 30 October 2025
Special Issue in
Animals
Special Issue Conference on the 25th International Colloquium on Animal Cytogenetics and Genomics, Naples June 26–29, 2024
Guest Editors: Leopoldo Iannuzzi, Sara Albarella, Pietro ParmaDeadline: 30 October 2025
Special Issue in
Animals
Molecular Mechanism and Nutritional Regulation in Porcine Diarrhea
Guest Editor: Kwang-won SeoDeadline: 31 October 2025
Topical Collections
Topical Collection in
Animals
Gut Microbiota and Growth and Health of Monogastric Farm Animals
Collection Editors: Maria Teresa Capucchio, Paolo Bosi
Topical Collection in
Animals
The Role of Nutrition in Maintaining Well-Being and Health of Dogs and Cats
Collection Editor: Giacomo Biagi
Topical Collection in
Animals
Applications of Quantitative Genetics in Livestock Production
Collection Editor: Michael E. Davis
Topical Collection in
Animals
Feeding Cattle for Health Improvement
Collection Editors: Marta I. Miranda Castañón, Marta López Alonso





